Yolksac là cấu trúc đầu tiên xuất hiện khi thai vào tử cung. Vậy siêu âm thấy yolksac nghĩa là gì? Có đáng lo không? Mẹ bầu đừng bỏ qua bài viết giải thích từ bác sĩ chuyên khoa này nhé!
1. Yolksac là gì? Giải mã “dấu hiệu đầu tiên” của sự sống trong thai kỳ
Khi bước vào những tuần đầu tiên của thai kỳ, nhiều mẹ sẽ được bác sĩ thông báo rằng đã thấy túi noãn hoàng (yolksac) trong buồng tử cung. Nhưng yolksac thật sự là gì?
Yolksac (túi noãn hoàng) là một cấu trúc tạm thời, có chức năng nuôi dưỡng phôi thai trong giai đoạn mà nhau thai chưa hình thành hoàn chỉnh. Cấu trúc này được hình thành từ lớp nội bì của phôi, chứa các dưỡng chất, protein và là nơi đầu tiên tạo ra tế bào máu cho thai nhi.

2. Siêu âm thấy yolksac là dấu hiệu gì?
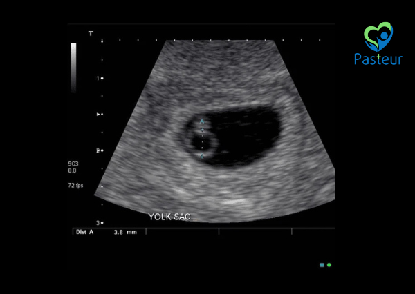
Khi siêu âm thai từ khoảng tuần thứ 5 – 6, bác sĩ có thể thấy yolksac bên trong túi thai nếu thai đã vào tử cung đúng vị trí. Việc phát hiện yolksac là một tín hiệu tốt, chứng minh rằng thai đang phát triển theo đúng lộ trình tự nhiên.
Tuy nhiên ở giai đoạn này, có thể chưa thấy phôi thai hoặc tim thai, bởi chúng xuất hiện muộn hơn một chút. Phôi thai thường chỉ xuất hiện khi túi thai đạt kích thước khoảng 10-12mm, còn tim thai thường chỉ nghe được từ tuần thứ 6.5 – 7 trở đi.
🩺 Điều quan trọng: Nếu siêu âm thấy yolksac nhưng chưa thấy phôi hay tim thai, mẹ đừng vội lo. Đây là điều hoàn toàn bình thường trong thai kỳ sớm.
3. Vai trò của yolksac với phôi thai
Túi noãn hoàng đóng vai trò tối quan trọng trong 4-6 tuần đầu sau thụ thai. Cụ thể:
Cung cấp dinh dưỡng ban đầu cho phôi thai.
Sản xuất tế bào gốc cho máu, mạch máu và một số nội quan ban đầu.
Tạo môi trường sống tạm thời cho phôi khi nhau thai chưa hoàn thiện.
Từ tuần thứ 8 trở đi, khi nhau thai bắt đầu đảm nhận vai trò nuôi dưỡng chính, yolksac dần teo lại và biến mất.

4. Kích thước yolksac bao nhiêu là bình thường?
Một yolksac bình thường sẽ có đường kính vào khoảng < 5 mm. Tuy nhiên, nếu kích thước yolksac vượt quá ngưỡng này, có thể cần theo dõi thêm vì:
Kích thước > 5.6 mm: có thể liên quan đến nguy cơ sảy thai sớm hoặc thai ngừng phát triển.
Kích thước không đều, hình thái bất thường (dẹt, méo, không tròn đều): có thể là dấu hiệu cảnh báo bất thường nhiễm sắc thể.
📌 Theo nghiên cứu trên NCBI:
“Kích thước yolksac lớn bất thường (>5.6 mm) có liên quan đến tỷ lệ sảy thai cao hơn.”
🔗 Nguồn: NCBI – PMC3484973
Tuy nhiên: Đừng vội hoang mang nếu kích thước hơi to. Khoảng 90% các trường hợp yolksac lớn hơn bình thường vẫn có thai kỳ an toàn nếu không kèm theo dấu hiệu bất thường nào khác.
5. Mẹ cần lưu ý gì khi siêu âm có yolksac?
5.1 Khám thai định kỳ và theo dõi sát sao trong 3 tháng đầu
Thời điểm yolksac xuất hiện thường là giai đoạn rất sớm, nên việc khám thai định kỳ mỗi 7-10 ngày theo chỉ định sẽ giúp bác sĩ kịp thời phát hiện:
Phôi thai có xuất hiện đúng thời điểm không?
Tim thai có hình thành đúng theo tuần tuổi?
Túi thai có phát triển ổn định hay có nguy cơ trống rỗng?
5.2 Ăn uống đủ chất, nghỉ ngơi hợp lý
Thời gian đầu mang thai, mẹ nên:
Bổ sung acid folic, vitamin B6, sắt và canxi theo chỉ định.
Hạn chế căng thẳng, vận động mạnh, thức khuya.
Tránh các loại thực phẩm sống, tái (sushi, gỏi), rượu bia, caffeine quá mức.
Không tự ý dùng thuốc nếu chưa có chỉ định từ bác sĩ.
Phát hiện yolksac trong buồng tử cung khi siêu âm thai là một tín hiệu tích cực, cho thấy thai đã làm tổ đúng vị trí và đang khởi động hành trình phát triển.
Tuy nhiên, việc theo dõi tiếp các chỉ số khác như sự xuất hiện của phôi thai, tim thai, kích thước yolksac, hormone beta-hCG… là điều cần thiết để đảm bảo thai kỳ diễn ra suôn sẻ. Đơn vị Sản phụ khoa Phòng khám đa khoa Pasteur chuyên cung cấp các dịch vụ thai kỳ toàn diện, như khám thai, siêu âm thai 2D – siêu âm thai 4D, xét nghiệm sàng lọc dị tật thai, …Các mẹ cần tư vấn dịch vụ khám thai có thể liên hệ Tổng đài 0236 9999 868 để được hỗ trợ chi tiết!
📚 Tài liệu tham khảo:
Medscape – Yolk Sac Development in Early Pregnancy
BMJ Case Reports – Large yolk sac and early pregnancy outcomes






